Dr. Scampa Cabinet

Cas Cliniques

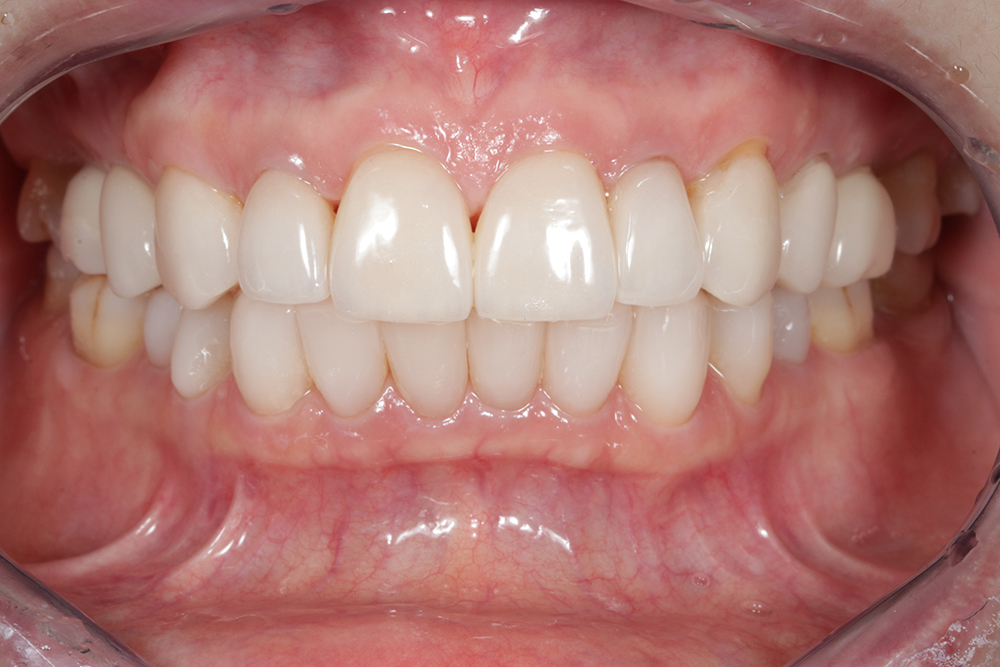
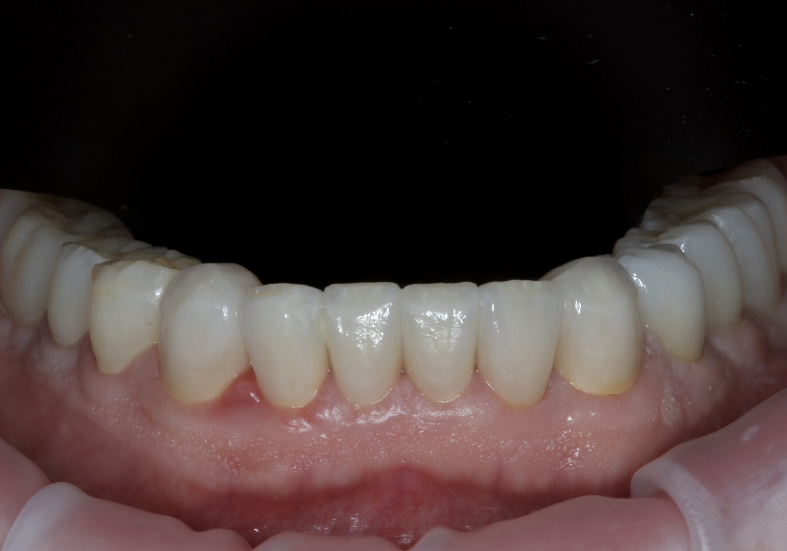
Cas 1

Dr Francesca Vailati : Réhabilitation globale non invasive par facettes et onlays, visant à restaurer une fonction optimale et une esthétique raffinée.

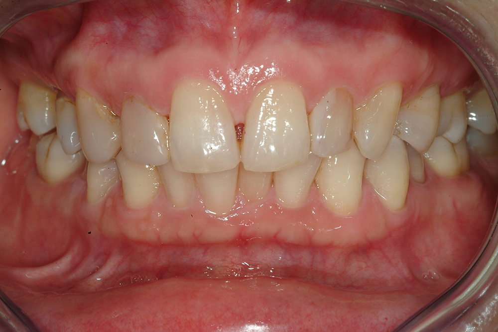
Cas 2

Dr Francesca Vailati – Alignement corrigé (ortho), dents blanchies, amélioration de l’état gingival

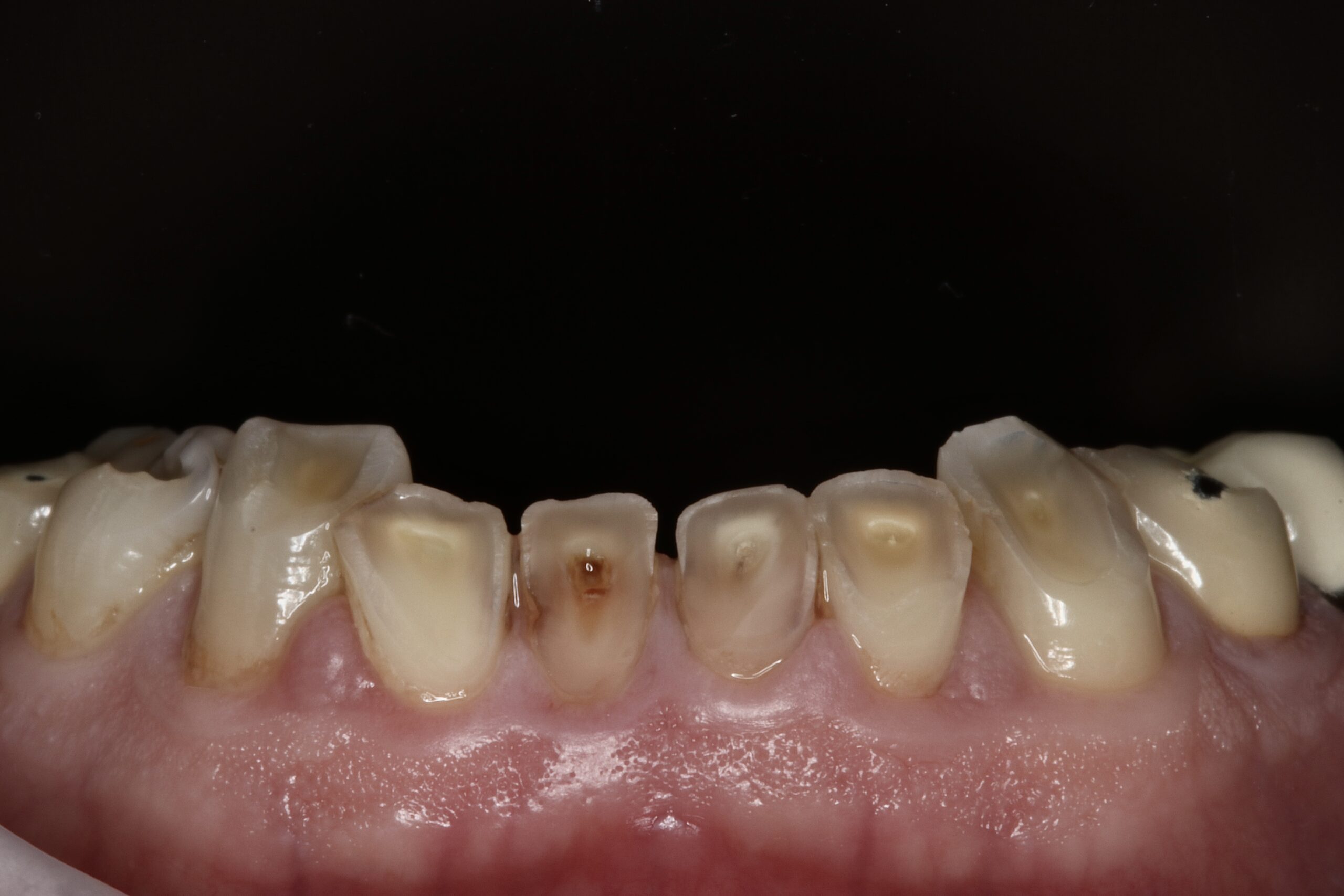
Cas 3

Dr Eyal Assaraf Réhabilitation d’un cas d’érosion dentaire